Além da proteção: entenda a função das placas
Muitas pessoas acreditam que a placa para bruxismo serve apenas para evitar o desgaste dos dentes durante a noite. No entanto, o papel desse dispositivo vai muito além: ele atua diretamente na comunicação entre sua boca e seu cérebro.
Uma placa bem ajustada protege o esmalte dentário, mas também estabiliza a articulação temporomandibular (ATM) e ajuda a reduzir a dor muscular. Contudo, para que esses benefícios ocorram, você precisa escolher o material correto, pois nem toda placa disponível no mercado é segura.
Placa de Silicone vs. Placa de Acrílico: Qual a diferença?
Atualmente, o mercado oferece dois tipos principais de materiais: o silicone (macio) e o acrílico (rígido). Embora a placa de silicone pareça mais confortável à primeira vista, os especialistas em DTM raramente a recomendam para o uso prolongado.
O perigo da placa de silicone (macia)
A princípio, a placa macia pode parecer uma boa ideia, mas ela costuma causar o chamado “efeito chiclete”. Como o material é elástico, o seu cérebro entende que há algo para mastigar, o que acaba estimulando ainda mais o apertamento e a atividade dos músculos da face. Portanto, em vez de tratar o problema, a placa de silicone pode, na verdade, piorar as dores musculares e a tensão na mandíbula.
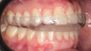
A placa de acrílico rígida (O padrão ouro)

Por outro lado, a placa de acrílico rígida é a escolha técnica ideal. Por ser um material estável, ela permite que o dentista realize ajustes precisos na “mordida” sobre a placa, garantindo que todos os dentes encostem ao mesmo tempo. Além disso, a superfície lisa do acrílico facilita o deslizamento da mandíbula, o que previne o travamento e reduz a sobrecarga nas articulações.
Placas personalizadas vs. Placas de farmácia (Ou placas do Mercado Livre!)
Você provavelmente já encontrou opções de placas “moldáveis” em farmácias ou sites de venda. Entretanto, essas placas pré-fabricadas oferecem riscos severos à sua saúde bucal. Como elas não possuem um ajuste milimétrico feito por um profissional, elas podem causar movimentações dentárias indesejadas e até alterar sua mordida de forma permanente. Em contraste, a placa personalizada, feita em laboratório ou no consultório, respeita a anatomia única do seu rosto e da sua arcada dentária.
A espessura ideal para cada tipo de DTM
A definição da espessura da placa não é aleatória; ela depende diretamente da sua necessidade clínica. Em casos de DTM muscular, o especialista costuma buscar uma espessura que promova o maior alívio da tensão, “desligando” a hiperatividade dos músculos. Já para as DTMs articulares, a espessura serve para criar um espaço real dentro da articulação (ATM), reduzindo a pressão sobre o disco articular e tecidos inflamados. Frequentemente, placas mais espessas são utilizadas para favorecer a lubrificação da articulação pelo líquido sinovial, enquanto espessuras menores podem ser suficientes para proteger os dentes em pacientes com bruxismo leve. Independentemente da medida, o equilíbrio total dos contatos é o que garante que o dispositivo não cause desconforto.
Placas anteriores e outras variações
Além do material, existem variações no design, como as placas anteriores (que cobrem apenas os dentes da frente) e as placas totais. Estas placas são chamadas de “front plateau” e não são indicadas pelo risco de serem engolidas pelo paciente em caso de desadaptação e a possibilidade de extrusão dos dentes posteriores, que é quando os dentes “descem”, como se procurassem o apoio dos dentes inferiores, levando a mordidas abertas anteriores.
O especialista escolhe o modelo com base no seu diagnóstico específico: se o seu problema é puramente muscular ou se envolve danos dentro da articulação. Frequentemente, as placas totais superiores são as mais utilizadas devido à sua excelente estabilidade e capacidade de proteção global de todo o sistema mastigatório.
A importância do ajuste profissional contínuo
De nada adianta ter a melhor placa se você não fizer o acompanhamento periódico. Com o tempo, o acrílico sofre pequenos desgastes e sua musculatura se adapta ao dispositivo. Por esse motivo, visitas regulares ao dentista são fundamentais para reajustar os contatos da placa.
Lembre-se: uma placa sem ajuste pode se tornar um fator de dor em vez de uma solução. Acima de tudo, trate sua placa como uma ferramenta terapêutica que exige manutenção constante.



