Você já olhou seu dente no espelho e notou um desgaste, quase um “degrau”, na base do seu dente, bem próximo à gengiva? Muitas pessoas associam qualquer buraco no dente à cárie, mas essa lesão específica raramente é causada por bactérias. Ela tem um nome: Lesão Cervical Não Cariosa (LCNC). Ela é um sinal silencioso de que forças excessivas estão agindo sobre seus dentes, sendo o bruxismo o principal suspeito.
O que é Exatamente uma Lesão Cervical Não Cariosa (LCNC)?
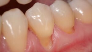
Como o nome diz, é uma perda de estrutura dental na região cervical (o colo ou pescoço do dente) que não é causada por cárie. Visualmente, parece uma cavidade em forma de “V” ou uma concavidade rasa. Durante a avaliação clínica, é um dos sinais que procuramos ativamente. O grande problema dessas lesões é que além da perda de estrutura dental que deixa o dente mais frágil, elas expõem a dentina, a camada interna e mais sensível do dente, causando sensibilidade aguda ao frio, ar ou doces.
A Surpreendente Ligação entre Bruxismo e LCNC.
Muitos pacientes perguntam: “Doutor, mas se eu aperto ou ranjo os dentes na superfície de mastigação, como isso faz um buraco na lateral do dente?” A resposta está na física pura.
O bruxismo é uma atividade muscular repetitiva que envolve apertar, encostar ou ranger os dentes. Esse hábito parafuncional é considerado um microtrauma, gerando forças que excedem muito a mastigação normal. Quando essa força intensa é aplicada, o dente sofre uma micro deflexão, como se fosse uma “dobra”. O ponto de maior tensão dessa flexão é exatamente o colo do dente, na linha da gengiva., onde a formação da cavidade acontece pelo fato do dente não aguentar esse tipo de força e o esmalte e a dentina se quebrarem microscopicamente.
Abfração: A Força que “Racha” o Dente!

Esse fenômeno de flexão tem um nome técnico: abfração. Pense em tentar dobrar um galho seco; as primeiras fibras que se rompem estão na superfície onde a tensão é maior. O mesmo ocorre com o dente.cEssa flexão repetida (dia após dia, ou noite após noite) causa microfissuras no esmalte e na dentina naquela região do colo. Com o tempo, esses pequenos fragmentos de dente literalmente “lascam” e se soltam, criando a cavidade. A escovação com escovas de cerdas rígidas e cremes dentais abrasivos (abrasão), em conjunto com um meio ácido provocado por alimentação ácida e refluxo gastroesofágico (erosão) podem acelerar o processo, mas a abfração causada pelo bruxismo é frequentemente o fator que inicia a lesão.
Sinais de Alerta: Bruxismo e LCNC Andam Juntos!
Raramente um paciente com LCNC por abfração tem apenas esse sinal. No exame, quase sempre encontramos um conjunto de evidências que apontam para o bruxismo.
Os sinais mais comuns que encontramos associados à LCNC incluem:
- Sensibilidade: O principal sintoma relatado pelo paciente.
- Facetas de Desgaste: Superfícies de mastigação que parecem “lixadas” e planas.
- Histórico de Fraturas: Pacientes que quebram dentes ou restaurações com frequência.
- Músculos Cansados: Dor ou cansaço na musculatura do rosto, especialmente ao acordar.
- Marcas na Bochecha: Linhas brancas na mucosa interna da bochecha por “morder” a área.
Como Tratar: Cuidando da Causa e da Consequência!
O tratamento da LCNC precisa ser feito em duas frentes para ter sucesso. Não adianta apenas “tapar o buraco” se a força excessiva continuar; a restauração vai acabar caindo ou a lesão continuará ao redor dela.
Tratando a Causa: O Bruxismo!
Aqui está o ponto-chave. Como o bruxismo tem origem no Sistema Nervoso Central, não falamos em “cura”, mas em “controle”. O manejo é focado em diminuir a atividade muscular e proteger os dentes dessa força. As estratégias mais eficazes incluem:
- Placas Oclusais: Dispositivos rígidos feitos sob medida para serem usados, geralmente, durante a noite. Eles protegem os dentes e redistribuem a força.
- Controle do Bruxismo de Vigília: Conscientização e técnicas para “desencostar os dentes” durante o dia, pois muitas pessoas apertam os dentes enquanto estão acordadas e focadas. O uso das placas oclusais noturnas durante o dia é contra indicado!!!
- Higiene do Sono: Melhorar a qualidade do sono pode ajudar a reduzir os eventos de bruxismo noturno.
Tratando a Consequência: a Lesão!
A lesão em si é tratada com uma restauração, geralmente em resina composta. O dentista limpa a área e preenche a cavidade. Isso protege a dentina, elimina a sensibilidade e devolve a estética ao dente.
Se você notou essa sensibilidade ou esse desgaste nos seus dentes, não ignore. Pode ser o seu corpo avisando que há uma sobrecarga. Converse com seu dentista especialista em DTM e Bruxismo para avaliar a causa e encontrar a melhor solução.



